很多人不知道,智牙這樣拔才科學!
發布時間:2021-07-30 閱讀:3833
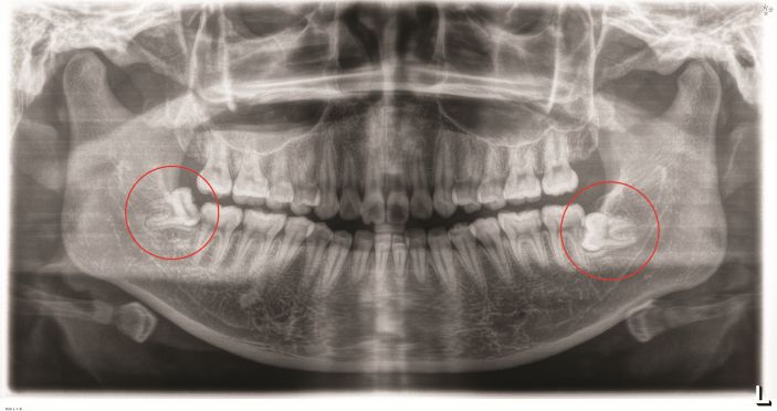
△阻生智牙。
低位埋伏阻生智齒是臨床上常見的口腔疾病,易導緻颌骨囊腫、骨髓炎和冠周炎等,影響患者的正常生活。對這種沒有咀嚼功能,且反複引發口腔問題的智牙是需要拔除的。但此類智牙的位置較深,骨阻力較大,周圍結構複雜,操作空間有限,要拔除是非常有挑戰性的。

△傳統的鑿骨劈冠法拔智牙,手法簡單粗暴。
不少人談拔智牙“色變”。因爲傳統采用鑿骨劈冠法,需要利用錘子、鑿子、牙挺、鉗子等,對智牙進行增隙、去骨和分牙操作。因錘擊的力度和方向難以把握,易對鄰牙、骨闆、颌骨神經等造成損傷,增加斷根進入周圍組織中的概率。患者痛感強,術後并發症多。
那麽智牙要如何拔除才科學?口腔科張洪傑副主任醫師介紹,不少人對智牙拔除的印象還停留在傳統的認知,實際上随着牙科技術的革新,近年來智牙拔除方式已進入更爲科學的微創時代,也更加注重人文關懷和“以患者爲中心”的現代醫學理念的運用。

△微創拔牙——準确分割牙體并取出,告别傳統暴力拔牙方式。
張主任講,微創拔智牙融合了多種先進的技術和理念,讓拔牙方式徹底告别盲目、暴力時代,具有這些優勢:1、個性化。術前通過CBCT明确患牙形态、埋伏深度及與下槽骨神經管、鄰牙的關系,分析骨阻力,設計、制定個性化的方案。2、創傷小。根據患牙特征,以減小創傷爲目的設計切口,采用超聲刀、切牙機等先進儀器設備,以小切口暴露牙冠,對患牙進行準确分割後經小切口逐一取出,告别傳統敲、鑿、劈、撬等一系列機械性操作,大幅度減少對正常組織的損傷。3、疼痛小、并發症少、恢複快。微創技術的應用,大幅減少智牙拔除的疼痛以及并發症,加快了術後的恢複。
據了解,我院口腔科張洪傑副主任醫師已經完成了1000餘例智牙的微創拔除,在微創拔牙方面積累了豐富經驗,并已将相關研究成果發表于國内的專業期刊。


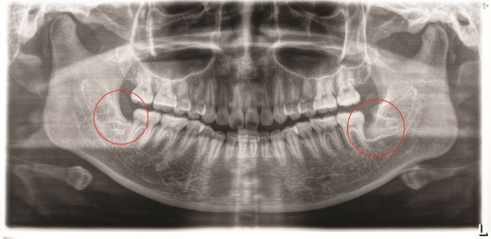
△智牙拔除前。

△智牙拔除後。













